Local volunteers monitoring plankton
Published 1:30 am Monday, April 11, 2022
by Lynnette Wood, PhD
Special to the Sounder
Are our local shellfish safe to eat? The answer is, sometimes. Four Orcas Island volunteers provide early warning of potential danger to human and ecosystem health by monitoring for toxic plankton as part of the SoundToxins program. This program, directed by Washington Sea Grant, provides early warning of potential harmful algal blooms before they affect shellfish or, in some cases, even before the associated toxins show up in shellfish flesh.
When shellfish eat toxin-carrying phytoplankton they accumulate the toxin in their flesh. When people eat these shellfish, they can become seriously ill. Depending on the toxin involved, symptoms can range from vomiting and diarrhea to paralysis, memory loss, difficulty breathing, and even death. But thanks to programs like SoundToxins, such occurrences are much rarer today than in the past.
After a bloom, once the toxin-producing phytoplankton are gone, the shellfish will flush the toxins from their systems making them safer to eat again. Depending on the species, it can take several days, months or even years for the toxins to be flushed out. It is important to understand that the toxins cannot be “cooked out” or “frozen out.”
The value of the SoundToxins early warning is that if the population of a toxic phytoplankton species is observed to be increasing, volunteers alert program staff in Seattle. These alerts help the Washington Department of Health make management decisions concerning the frequency and location of shellfish tissue sampling and analysis. In 2021, SoundToxins’ volunteers throughout the Puget Sound sent more than 300 such alerts.
Of the 35 active sampling sites in the Puget Sound, there are currently just two in San Juan County. Both are on Orcas Island. One is at the Eastsound county dock off Madrona Point; the other is associated with the Glenwood Springs salmon hatchery. The “Orcas Plankton Team” currently consists of Leslie Hutchinson, Lisa Poitras, Sheila Schedlbauer, and Lynnette Wood.
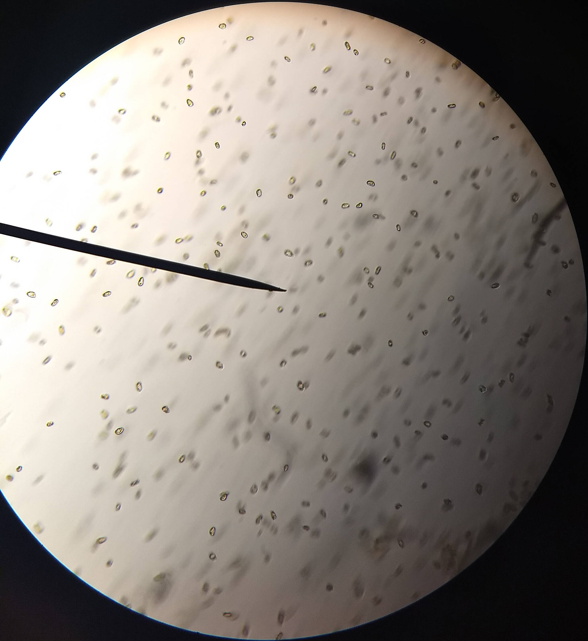
In the warm seasons, the team collects weekly samples; sampling is every other week in winter. Team members record water and weather conditions and analyze the samples for phytoplankton species by viewing them through microscopes. They focus on seven target species. Three of these, Pseudo-nitzschia species, Alexandrium catenella, and Dinophysis species, are associated with human health impacts: amnesic, paralytic, and diarrhetic shellfish poisoning, respectively. The fourth, Heterosigma akashiwo, is associated with fish (including salmon) mortality.
Heterosigma akashiwo, is recognized as having been responsible for salmon die-offs since the 1960s. A bloom of this species in East Sound in 2018 drastically reduced the number of returning salmon that year. Salmon fry (baby salmon) are particularly vulnerable, which is why weekly monitoring is so important near the hatchery. If this species blooms, release of the fry can be postponed until the bloom passes.
Recently, SoundToxins added to the list of monitored species. Three so-called “shellfish killers” are Protoceratium reticulatum, Phaeocystis globosa and Akashiwo saguinea. Two of these species can produce large macro-colonies of gelatinous foam that accumulates on water surfaces and beaches. Previously uncommon in the Pacific Northwest, these species are a danger mainly to shellfish but also to some other animals. Akashiwo saguinea, for instance, was associated with a large die-off of birds along the coast of Washington State in the Fall of 2009.
By drawing on volunteers like those of the Orcas Plankton Team, the early warning provided by SoundToxins is a cost-effective way to minimize risks to human and ecosystem health. It also helps reduce the economic impacts of HABs on commercial and tribal shellfish industries, which together employ over 3,200 people in Washington State and contribute more than $270 million to the economy.
More information about the program can be found at SoundToxins.org. A continuously updated map of shellfish beach closures due to marine biotoxins and pollution are available at https://fortress.wa.gov/doh/biotoxin/biotoxin.html.
